大腸の病気
過敏性腸症候群
胃腸科の外来では多く見られる疾患で一般の人の20~30%の人が経験するといわれる程です。精神的なストレスが誘因となって腹痛や下腹部の不快感を伴う下痢や便秘が見られます。胃や大腸は自律神経により運動をコントロールされていますが、ストレスを受けることでこのコントロールが正常に機能しなくなるために、腸の機能障害がおこり症状が出現します。(大腸だけではなく小腸も関与しています。)
症状により以下の3つの型に分類されています。
下痢型・・・
腹痛を伴う慢性の下痢が続きます。粘液が混じることも多く見られますが血液が混じることはありません。腹痛や下痢の回数は個人差があります。下痢で急に腹痛が起こったりしますが、夜間に起こることはまれです。
便秘型・・・
腹痛があり便意があるのに便が出にくい状態となります。ウサギの糞のようなコロコロの便が出ます。大腸のS状結腸に強い収縮運動が起こるために便が通りにくい状態となるためです。
交代型・・・下痢と便秘を繰り返します。数日間下痢をしたかと思うと便秘になりコロコロした便や細い便が出ます。
きっかけはストレスであっても胃腸反射が強く出るため、食べ物をとると急に腹痛や下痢が始まることも多く非常に強い便意を伴います。下痢以外にも急に腹部の張った感じがでたりします。排便すると痛みが和らぎますが、残便感も多くみられます。
診断
過敏性腸症候群の人は症状が強い割に診察では大腸の部分に圧痛が時々見られる他は異常が見られません。多くの検査においても検査結果は正常です。
上記のような症状があり、検査で異常がないこと、内服などの治療により症状が消失または軽快することで診断することになります。
癌をはじめ他の疾患でも下痢や腹痛は見られますので、安易に症状のみで判断することなく検査で他の疾患がないことを確認する必要があります。
治療は原因となるストレスや症状の程度が異なりますので、人によって治療も異なります。原因となるストレスや腹痛のきっかけとなりやすい食事がわかれば、それを避けるようにします。内服治療を必要とする方も多く見られますが、内服が長期にわたることは少ないようです。医師に症状を伝え相談しながら治療していく必要があります。
大腸ポリープ
大腸ポリープは非常にポピュラーな病気であり、施設による違いはあるものの大腸内視鏡検査を受けた方の30%前後にポリープが見つかっています。大きいものは血便や下血をきたすこともありますが、小さいものはほとんど症状がなく便潜血陽性や他の症状で検査を受けた際に見つかる場合がほとんどです。
大腸ポリープは大きく分けてがんとは関係ない非腫瘍性の過形成性ポリープと、癌になる可能性がある腫瘍性の腺腫性ポリープに分かれます。このうち腺腫性ポリープが約80%を占めています。
過形成性ポリープは直腸やS状結腸に多く、ごく一部の特殊な過形成性ポリープを除き治療の対象になりません。
腺腫性ポリープは癌になる可能性があるためポリープ切除の対象となります。一般的な腺腫性大腸ポリープは数年かけて徐々に大きくなり癌となるものが多いので、大きさ等を考えて治療(ポリープ切除)を行うかを判断します。また、ポリープではないものの他の平坦な形や陥凹した形の腫瘍の中にはがんになるスピードが速いと考えられる病変があり、小さくても早く治療をお勧めする場合があります。
5mm以下のポリープのほとんどは成長が緩やかで、数年を経ても大きくならないものも多く見られることがわかってきました。そのため5mm以下のポリープでは、ポリープの形、年齢などを考慮して総合的に治療するかどうかを決定します。
大きさが5mmを越えると、がんになる可能性が出てきますので、原則治療をお勧めします。1年経ってもほとんど大きさに変化がないものもありますが、仕事などの都合を考慮し、1年以内の治療をお勧めします。
10mmを越えるとがんになっている確率が10%を越えます。放置するとがんになる確率が高くなりますので、治療をお勧めします。
治療(ポリープ切除)については内視鏡検査の治療のページを御覧下さい)
治療したあとは、必ず1年前後で再検査をお受けになり、他にポリープがないことを確かめる必要があります。
結腸憩室症
大腸の壁が外側に突出し袋状になった状態が憩室です。40歳以上に多く上行結腸やS状結腸に多く見られます。ほとんどは無症状ですが、憩室が多いと大腸の癒着の原因となり、便秘や腹部の不快感の原因になります。
また、便がつまることで細菌感染(憩室炎)を起こし、痛みや出血の原因となることがあります。
虚血性大腸炎
大腸への血液の循環が悪くなり、大腸粘膜が虚血となり炎症や潰瘍を生じる病気です。もともと血管に動脈硬化があるところに便秘などが誘因となって発症するといわれており、高齢者に多いのですが、便秘のひどい若い女性にも時にみられます。
下行結腸(~S状結腸)によく見られますが、ここは上腸間膜動脈と下腸間膜動脈の支配領域の境界部分であるため虚血を起こしやすいためです。
症状は突然の激しい腹痛、下血、血便、下痢ですが、下痢や下血は痛みより遅れて起こる場合もあります。悪心(おしん)、嘔吐、発熱が認められることもあります。
症状から診断を推定し、大腸内視鏡検査を行います。多くの場合S状結腸や下行結腸に発赤、出血、浮腫、縦走(じゅうそう)潰瘍(消化管の縦方向に沿ってできる細長い潰瘍)などがみられます。
治療は安静にし、絶食、輸液、二次感染防止のための抗生剤投与などを行い、腹痛に対しては対症療法として鎮痙(ちんけい)薬や鎮痛薬を投与します。症状が改善したら食事を開始します。
虚血性大腸炎の約半数は一過性型で、短期間のうちに軽快し後遺症も残りません。急性期を過ぎたあと大腸に狭窄が残る狭窄型や腸管が壊死にいたる壊死型はまれです。
便秘
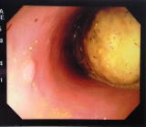
(左の写真は便秘の強い方の前処置をしない状態での内視鏡写真ですが、大腸の壁と便はきれいに別れています。この写真を見ると、腸管の壁に長期間張り付いたままの俗に言う宿便なるものは、存在しないことが理解していただけるでしょうか?また検査の前処置用の強力な下剤を使って大腸をきれいにしても、十数時間後には大腸にはすでに便が存在しています。ただし、便秘の方は、便秘そのものは変化がないため、その後、数日間排便は見られません。
まずは、便秘に対しての正しい知識を理解していただくことが必要ですので、胃腸科、消化器科の医師に相談されることをお勧めします。)
便秘の定義にはっきりとしたものはなく、3日以上排便がない時とされる場合もありますが、1日1回排便があっても、量が少なかったり、硬くて排便がしにくかったり、すっきりと出た感じがしない時も便秘の症状の一つです。
特に高齢者や女性で便秘は多く見られます。これは筋力が弱いことに加え、高齢者では消化の良い物(噛みやすい繊維の少ない物)をとるために便量が少なくなることが原因となり、女性ではダイエットで食事量が少ないため便量が少ないこと、黄体ホルモンによる腸管蠕動の抑制があること、排便を我慢することなどが原因となっています。
便秘の分類もいろいろですが、大きく機能性便秘と器質性便秘に分けられます。
機能性便秘・・・
便がつくられる段階や排便の機能の異常による便秘
[急性の便秘]以下の原因による一時的な便秘ですが、続くと慢性となる可能性があります。・肉などの食物繊維が少ない食事に偏った時・汗をかいたり水分をとる量が少なかったりで便の水分が不足した時・旅行などの環境の変化、入院などによる運動不足など…[慢性の便秘]弛緩性便秘・・
慢性便秘の多くがこのタイプです。大腸の緊張や運動の低下により便を送る力が弱くなる事や高齢者や女性(特にお産が多い女性)で筋力(腹圧)が低下することなどが原因となります。大腸を通過するのに時間がかかるため水分を吸収され硬い便になります。症状としては腹痛よりもお腹の張った感じ(腹部膨満感)が多く見られます。
直腸性便秘・・便意を我慢することが多かったり浣腸を乱用したりすることで、便が直腸にきても正常な排便の反射がおこらず、便が直腸に停滞する便秘です。大きく硬い便になり断片的に排便し残便感が残ります。緊張性便秘・・
過敏性腸症候群(便秘型)や下剤の乱用で起こり、大腸の運動が亢進し引きつることで、便の通りが悪くなり起こります。痙攣性の収縮により小さく硬いウサギの糞のような便になります。便秘が続くことよりも便秘と下痢が交互にでるほうが多く見られます。症状は腹痛(特に左下腹部痛)で排便前に強く排便後に軽快します。
器質性便秘・・・大腸の腫瘍や炎症による狭窄や大腸の長さ、大きさの異常による便秘薬剤性便秘・・・腸管の運動を抑制する副作用を持つ薬剤の使用による便秘
器質性便秘や薬剤性便秘については、原因となる病気に対する治療や下剤による排便のコントロールが治療の主体となります。
これに対して機能性便秘の場合は、まず、便秘についてきちんと理解することが大切で、それにより食生活や日常生活を改善していくことが重要です。下剤は補助的役割となりますが、その役割は大きく適正な使用が望まれます。
まず、便の70~80%は水分が占めており、10%が食物残渣で10~15%は腸内細菌の死骸から構成されています。水分が60%くらいになるとかなり硬い便になりますので、便秘の場合に水分をとることを勧められるのはこの10%を少しでも補うためです。
また便の量を増やし大腸の動き(蠕動運動)をよくするために食物繊維を十分にとる必要があります。ちなみに植物性の食物繊維には、水に溶ける食物繊維と溶けない食物繊維があり、水に溶ける食物繊維は海藻やこんにゃく、果物に多く含まれ、腸内細菌の善玉菌を増やす効果があります。水に溶けない食物繊維は野菜に多く水分を吸収し便を柔らかくする効果がありますので、両者をバランスよくとる必要があります。
食物繊維を十分にとることに加え、朝食をきちんと食べることが大切です。朝食を食べることで大腸の運動が促され排便しやすくなります。この時期を逃すことで便意が治まってしまい便秘になる方が若い女性で多く見られます。
以上のような食生活の改善の他に、排便前に腸管の運動を促すために、朝起きてすぐに冷水あるいは牛乳を飲む、10~15分ぐらいの適度な運動をするなどの方法も効果的です。その後に朝食をとり排便を試みます。この際、便意の有無に関わらず毎日トイレに行き排便の習慣をつけることと、便意があったら我慢をしないことが大切です。
その他に、腹部を温めたりマッサージをしたりすることも腸管の運動を促す効果があります。
食事や日常生活で上記のような注意をしてもなかなか排便できない場合には、下剤を使用する必要があります。その際、下剤には作用機序や強さによる違いがありますので、適正な使用が必要です。下剤の乱用により便秘がひどくなる場合や、緊張性便秘などで腹痛や便秘が強くなることもあります。医師へ相談の上で使用される事をお勧めします。
また、便秘と思っていたら大腸癌による狭窄が起こっている場合もありますので、徐々に便秘がひどくなる場合はもちろん、それ以外の場合も一度は検査を受けられることをお勧めします。
大腸がん
過敏性腸症候群
胃腸科の外来では多く見られる疾患で一般の人の20~30%の人が経験するといわれる程です。精神的なストレスが誘因となって腹痛や下腹部の不快感を伴う下痢や便秘が見られます。胃や大腸は自律神経により運動をコントロールされていますが、ストレスを受けることでこのコントロールが正常に機能しなくなるために、腸の機能障害がおこり症状が出現します。(大腸だけではなく小腸も関与しています。)
症状により以下の3つの型に分類されています。
下痢型・・・
腹痛を伴う慢性の下痢が続きます。粘液が混じることも多く見られますが血液が混じることはありません。腹痛や下痢の回数は個人差があります。下痢で急に腹痛が起こったりしますが、夜間に起こることはまれです。
便秘型・・・
腹痛があり便意があるのに便が出にくい状態となります。ウサギの糞のようなコロコロの便が出ます。大腸のS状結腸に強い収縮運動が起こるために便が通りにくい状態となるためです。
交代型・・・下痢と便秘を繰り返します。数日間下痢をしたかと思うと便秘になりコロコロした便や細い便が出ます。
きっかけはストレスであっても胃腸反射が強く出るため、食べ物をとると急に腹痛や下痢が始まることも多く非常に強い便意を伴います。下痢以外にも急に腹部の張った感じがでたりします。排便すると痛みが和らぎますが、残便感も多くみられます。
診断
過敏性腸症候群の人は症状が強い割に診察では大腸の部分に圧痛が時々見られる他は異常が見られません。多くの検査においても検査結果は正常です。
上記のような症状があり、検査で異常がないこと、内服などの治療により症状が消失または軽快することで診断することになります。
癌をはじめ他の疾患でも下痢や腹痛は見られますので、安易に症状のみで判断することなく検査で他の疾患がないことを確認する必要があります。
治療は原因となるストレスや症状の程度が異なりますので、人によって治療も異なります。原因となるストレスや腹痛のきっかけとなりやすい食事がわかれば、それを避けるようにします。内服治療を必要とする方も多く見られますが、内服が長期にわたることは少ないようです。医師に症状を伝え相談しながら治療していく必要があります。
大腸ポリープ

大腸ポリープは大きく分けてがんとは関係ない非腫瘍性の過形成性ポリープと、癌になる可能性がある腫瘍性の腺腫性ポリープに分かれます。このうち腺腫性ポリープが約80%を占めています。
過形成性ポリープは直腸やS状結腸に多く、ごく一部の特殊な過形成性ポリープを除き治療の対象になりません。

5mm以下のポリープのほとんどは成長が緩やかで、数年を経ても大きくならないものも多く見られることがわかってきました。そのため5mm以下のポリープでは、ポリープの形、年齢などを考慮して総合的に治療するかどうかを決定します。
大きさが5mmを越えると、がんになる可能性が出てきますので、原則治療をお勧めします。1年経ってもほとんど大きさに変化がないものもありますが、仕事などの都合を考慮し、1年以内の治療をお勧めします。
10mmを越えるとがんになっている確率が10%を越えます。放置するとがんになる確率が高くなりますので、治療をお勧めします。
治療(ポリープ切除)については内視鏡検査の治療のページを御覧下さい)
治療したあとは、必ず1年前後で再検査をお受けになり、他にポリープがないことを確かめる必要があります。
結腸憩室症

また、便がつまることで細菌感染(憩室炎)を起こし、痛みや出血の原因となることがあります。
虚血性大腸炎

下行結腸(~S状結腸)によく見られますが、ここは上腸間膜動脈と下腸間膜動脈の支配領域の境界部分であるため虚血を起こしやすいためです。
症状は突然の激しい腹痛、下血、血便、下痢ですが、下痢や下血は痛みより遅れて起こる場合もあります。悪心(おしん)、嘔吐、発熱が認められることもあります。
症状から診断を推定し、大腸内視鏡検査を行います。多くの場合S状結腸や下行結腸に発赤、出血、浮腫、縦走(じゅうそう)潰瘍(消化管の縦方向に沿ってできる細長い潰瘍)などがみられます。
治療は安静にし、絶食、輸液、二次感染防止のための抗生剤投与などを行い、腹痛に対しては対症療法として鎮痙(ちんけい)薬や鎮痛薬を投与します。症状が改善したら食事を開始します。
虚血性大腸炎の約半数は一過性型で、短期間のうちに軽快し後遺症も残りません。急性期を過ぎたあと大腸に狭窄が残る狭窄型や腸管が壊死にいたる壊死型はまれです。
便秘

まずは、便秘に対しての正しい知識を理解していただくことが必要ですので、胃腸科、消化器科の医師に相談されることをお勧めします。)
便秘の定義にはっきりとしたものはなく、3日以上排便がない時とされる場合もありますが、1日1回排便があっても、量が少なかったり、硬くて排便がしにくかったり、すっきりと出た感じがしない時も便秘の症状の一つです。
特に高齢者や女性で便秘は多く見られます。これは筋力が弱いことに加え、高齢者では消化の良い物(噛みやすい繊維の少ない物)をとるために便量が少なくなることが原因となり、女性ではダイエットで食事量が少ないため便量が少ないこと、黄体ホルモンによる腸管蠕動の抑制があること、排便を我慢することなどが原因となっています。
便秘の分類もいろいろですが、大きく機能性便秘と器質性便秘に分けられます。
機能性便秘・・・
便がつくられる段階や排便の機能の異常による便秘
[急性の便秘]以下の原因による一時的な便秘ですが、続くと慢性となる可能性があります。・肉などの食物繊維が少ない食事に偏った時・汗をかいたり水分をとる量が少なかったりで便の水分が不足した時・旅行などの環境の変化、入院などによる運動不足など…[慢性の便秘]弛緩性便秘・・
慢性便秘の多くがこのタイプです。大腸の緊張や運動の低下により便を送る力が弱くなる事や高齢者や女性(特にお産が多い女性)で筋力(腹圧)が低下することなどが原因となります。大腸を通過するのに時間がかかるため水分を吸収され硬い便になります。症状としては腹痛よりもお腹の張った感じ(腹部膨満感)が多く見られます。
直腸性便秘・・便意を我慢することが多かったり浣腸を乱用したりすることで、便が直腸にきても正常な排便の反射がおこらず、便が直腸に停滞する便秘です。大きく硬い便になり断片的に排便し残便感が残ります。緊張性便秘・・
過敏性腸症候群(便秘型)や下剤の乱用で起こり、大腸の運動が亢進し引きつることで、便の通りが悪くなり起こります。痙攣性の収縮により小さく硬いウサギの糞のような便になります。便秘が続くことよりも便秘と下痢が交互にでるほうが多く見られます。症状は腹痛(特に左下腹部痛)で排便前に強く排便後に軽快します。
器質性便秘・・・大腸の腫瘍や炎症による狭窄や大腸の長さ、大きさの異常による便秘薬剤性便秘・・・腸管の運動を抑制する副作用を持つ薬剤の使用による便秘
器質性便秘や薬剤性便秘については、原因となる病気に対する治療や下剤による排便のコントロールが治療の主体となります。
これに対して機能性便秘の場合は、まず、便秘についてきちんと理解することが大切で、それにより食生活や日常生活を改善していくことが重要です。下剤は補助的役割となりますが、その役割は大きく適正な使用が望まれます。
まず、便の70~80%は水分が占めており、10%が食物残渣で10~15%は腸内細菌の死骸から構成されています。水分が60%くらいになるとかなり硬い便になりますので、便秘の場合に水分をとることを勧められるのはこの10%を少しでも補うためです。
また便の量を増やし大腸の動き(蠕動運動)をよくするために食物繊維を十分にとる必要があります。ちなみに植物性の食物繊維には、水に溶ける食物繊維と溶けない食物繊維があり、水に溶ける食物繊維は海藻やこんにゃく、果物に多く含まれ、腸内細菌の善玉菌を増やす効果があります。水に溶けない食物繊維は野菜に多く水分を吸収し便を柔らかくする効果がありますので、両者をバランスよくとる必要があります。
食物繊維を十分にとることに加え、朝食をきちんと食べることが大切です。朝食を食べることで大腸の運動が促され排便しやすくなります。この時期を逃すことで便意が治まってしまい便秘になる方が若い女性で多く見られます。
以上のような食生活の改善の他に、排便前に腸管の運動を促すために、朝起きてすぐに冷水あるいは牛乳を飲む、10~15分ぐらいの適度な運動をするなどの方法も効果的です。その後に朝食をとり排便を試みます。この際、便意の有無に関わらず毎日トイレに行き排便の習慣をつけることと、便意があったら我慢をしないことが大切です。
その他に、腹部を温めたりマッサージをしたりすることも腸管の運動を促す効果があります。
食事や日常生活で上記のような注意をしてもなかなか排便できない場合には、下剤を使用する必要があります。その際、下剤には作用機序や強さによる違いがありますので、適正な使用が必要です。下剤の乱用により便秘がひどくなる場合や、緊張性便秘などで腹痛や便秘が強くなることもあります。医師へ相談の上で使用される事をお勧めします。
また、便秘と思っていたら大腸癌による狭窄が起こっている場合もありますので、徐々に便秘がひどくなる場合はもちろん、それ以外の場合も一度は検査を受けられることをお勧めします。
大腸がん